On July 31, 2016, I felt drained of energy. I felt a little numb on the right side of my body. I did not have time to check it out in hospital then. So, at 11 P.M. on the next day, I went to the emergency room of Boramae Hospital. The doctor performed a CT scan, and it revealed a cerebral hemorrhage.
He said, “Thirty hours have already passed, so it cannot be treated with medication or a surgery. And because your case is acute, it will be seriously dangerous if it causes bleeding in your brain again or other problems.” I stayed in the intensive care unit all night and went through many tests. But I was in peace and thankfulness.

In the morning, on August 2, the doctor said in amazement, “Other people would show abnormal symptoms in your state, but you look just normal without any problem.” I was moved to a general ward. On August 3, thankfully, I received Senior Pastor’s prayer when he returned to his residence from his mountain prayer house. He prayed for my condition and my special praise.
On August 4, my MRI scan still revealed a hemorrhage. But I showed none of symptoms of a brain hemorrhage. The doctor seemed to be confused.

I told him that I would sing the following day for the special praise in the church’s worship service. He was surprised and earnestly said, “No! Don’t. You can’t sing. If you sing, intracranial pressure will increase and it will cause bleeding in your brain again. You will die.” On August 5, however, I left the hospital to give my special praise with faith in my God the Healer. And I offered up my special praise by the grace of God during Friday All-night Service (Left).

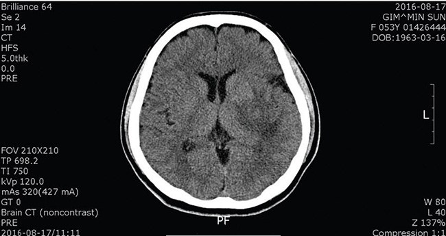
On August 8, I participated in Manmin Summer Retreat. I received Senior Pastor’s prayer with faith during the seminar of the first day. On August 17, I had a CT scan done again. The doctor said blood had been soaked up, and all body functions were mysteriously normal. Hallelujah!
Senior Deaconess Jinhee Kim, age 55, Parish 12, Manmin Central Church












